
October 15, 2025
3 min read
Men’s Brains Shrink Faster than Women’s. What That Means for Alzheimer’s
Women’s brains age more slowly than men’s, but they still have higher rates of Alzheimer’s disease

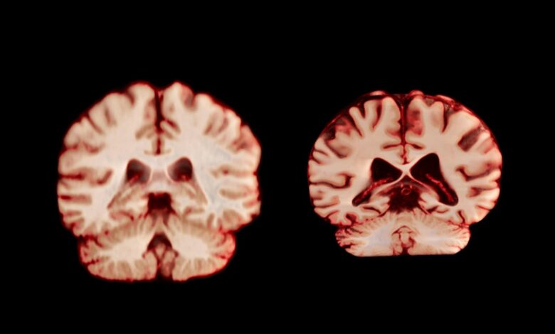
A healthy brain (left) and a brain affected by Alzheimer’s disease.
TheVisualMD/Science Source
During ageing, men experience a greater reduction in volume across more regions of the brain than women do, according to a longitudinal study published today in the Proceedings of the National Academy of Sciences. The authors suggest this means that age-related brain changes do not explain why women are more frequently diagnosed with Alzheimer’s disease than men are.
“It’s really important that we understand what happens in the healthy brain so that we can better understand what happens when people get these neurodegenerative conditions,” says Fiona Kumfor, a clinical neuropsychologist at the University of Sydney, Australia. This study adds to scientists’ understanding of typical brain ageing, she adds.
Nearly twice as many women are diagnosed with Alzheimer’s disease as men, and ageing is the biggest risk factor for the disease. This has prompted research into age-related sex differences in the brain. “If women’s brains declined more, that could have helped explain their higher Alzheimer’s prevalence,” says co-author Anne Ravndal, a PhD student at the University of Oslo.
On supporting science journalism
If you’re enjoying this article, consider supporting our award-winning journalism by subscribing. By purchasing a subscription you are helping to ensure the future of impactful stories about the discoveries and ideas shaping our world today.
Previous research investigating sex differences in brain ageing has shown mixed results, Ravndal adds. Several studies have found that men experience greater loss of total grey matter and hippocampus size compared with women, whereas other work has reported a sharper decline of grey matter in women.
Brain scans
The latest study included more than 12,500 magnetic resonance imaging (MRI) brain scans from 4,726 people — at least two scans per person, taken an average of three years apart — who did not have Alzheimer’s disease or any cognitive impairments and were control participants in 14 larger data sets. The researchers compared how the individuals’ brain structures changed over time, looking at factors including the thickness of grey matter and the size of areas that are associated with Alzheimer’s disease, such as the hippocampus, which is essential to memory.
Overall, men experienced a greater reduction in volume across more regions of the brain than women did. For example, the postcentral cortex, which is responsible for processing sensations of touch, pain and temperature, as well as the body’s own position and movements, declined by 2.0% per year in men and by 1.2% annually in women.
Kumfor says the results suggest that men age faster than women do. Men also have a shorter life expectancy.
If these changes did have a role in the development of Alzheimer’s disease, the study would have shown that women experience a greater decline in areas associated with the disease, such as the hippocampus and precuneus, which are involved in memory, says Amy Brodtmann, a clinician researcher in cognitive health at Monash University in Melbourne, Australia.
Ravndal says the results point to other possible explanations for the sex differences in prevalence of Alzheimer’s disease, such as differences in survival or susceptibility to the disease.
That sex differences in brain volume don’t seem to play a part in the condition is not entirely surprising, says Kumfor, because neurodegenerative conditions are complex. Understanding the disorders will require longitudinal studies involving people with Alzheimer’s disease, to compare how their brains change over time. “Just looking at age-related changes in brain atrophy is unlikely to explain the complexities behind it,” she adds.
Complex disease
Although the study is robust, further investigations with more diverse data sets are needed, says Brodtmann. For example, people included in the study had high levels of education — a protective factor against Alzheimer’s disease — meaning that they were not fully representative of the general population. The data sets also lacked information about other factors that influence a person’s risk of Alzheimer’s disease, such as ethnicity and the age at which women experience menopause.
The authors say that when they adjusted their analysis for education level, some parts of men’s brains no longer showed a steeper decline than occurred in women. When they compared men and women who were predicted to live for the same number of years, rather than those of the same age, the two groups’ brains declined at similar rates.
This article is reproduced with permission and was first published on October 13, 2025.
It’s Time to Stand Up for Science
If you enjoyed this article, I’d like to ask for your support. Scientific American has served as an advocate for science and industry for 180 years, and right now may be the most critical moment in that two-century history.
I’ve been a Scientific American subscriber since I was 12 years old, and it helped shape the way I look at the world. SciAm always educates and delights me, and inspires a sense of awe for our vast, beautiful universe. I hope it does that for you, too.
If you subscribe to Scientific American, you help ensure that our coverage is centered on meaningful research and discovery; that we have the resources to report on the decisions that threaten labs across the U.S.; and that we support both budding and working scientists at a time when the value of science itself too often goes unrecognized.
In return, you get essential news, captivating podcasts, brilliant infographics, can’t-miss newsletters, must-watch videos, challenging games, and the science world’s best writing and reporting. You can even gift someone a subscription.
There has never been a more important time for us to stand up and show why science matters. I hope you’ll support us in that mission.
Source link




